
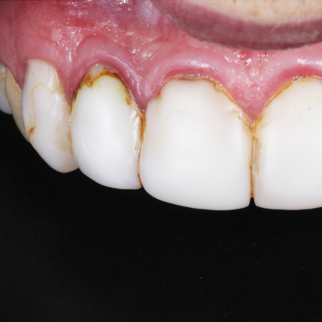
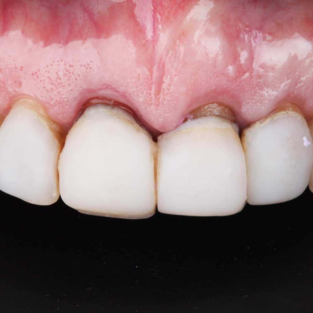
Manchamento de resina, sem brilho e gengiva inflamada.

Insegurança na indicação, planejamento e execução.

Contorno artificial e retrabalho.

Falte de ajuste e acabamento fraco.
Sim! Ele foi criado especialmente para alunos de graduação e recém-formados que desejam dominar a teoria e assistir a demonstrações clínicas de facetas diretas em resina composta.
Não. O conteúdo é didático e progressivo, ideal para quem está começando. Você vai entender os fundamentos e ver o passo a passo sendo executado de forma clara e objetiva.
Não! Ele é teórico e demonstrativo. Isso significa que você terá acesso a aulas completas com demonstrações clínicas reais, além de toda a fundamentação teórica necessária.
Sim, mas em outro momento. este curso é a fase online (teórica e demonstrativa). Após a conclusão, você terá a oportunidade de se inscrever e comprar o curso prático presencial, onde poderá realizar os procedimentos com supervisão direta.
Você terá acesso por 12 meses a todo o conteúdo, podendo assistir e revisar as aulas quantas vezes quiser.
Sim, ao final do curso você recebe um certificado digital de conclusão, com carga horária e nome da professora responsável.
Você pode acessar o curso pela plataforma da Hotmart, usando celular, tablet ou computador, com liberdade total para estudar de onde estiver.
Após concluir o curso online, os alunos interessados serão convidados para turmas presenciais com vagas limitadas, onde aplicarão as técnicas com orientação direta. As informações sobre datas, locais e inscrições serão enviadas por e-mail. As práticas serão realizada na cidade de Avaré-SP
Sim! Você terá acesso a uma área exclusiva para enviar dúvidas.
Após aquisição do curso e aprovação do pagamento, os dados de acesso serão enviados automaticamente em seguida ao email informado na compra.
É possível parcelar em até 12x através dos cartões de crédito por meio da plataforma Hotmart. Também é possível pagamento à vista por meio de PIX.
© Leticia Brianezzi. Todos os Direitos Reservados.